A beautiful smile can influence first impressions, boost self-confidence, and enhance overall well-being. In Calgary, more patients are choosing Invisalign aligners as a modern solution for straightening teeth without the look or feel of metal brackets. At Skyview Ranch Dental Clinic, patients receive advanced smile …
Invisalign Braces: A Comfortable Way to Straighten Teeth with Dr. Himani Gupta
A confident smile can transform how you feel about yourself, how you communicate, and how you show up in everyday life. For many adults and teens in Calgary, the idea of straightening teeth used to mean noticeable metal brackets and wires. Today, there is a …
A confident smile is about more than straight teeth. Bite balance and jaw harmony play a major role in comfort, function, and long-term oral health. When the upper and lower teeth do not meet correctly, issues such as crossbite, uneven wear, jaw strain, and headaches …
Clear Aligner Insights: What Dr. Himani Gupta’s Patients Say About Their Results
When people think about transforming their smile, they often wonder what real outcomes look like, not just marketing promises. At Skyview Ranch Dental Clinic in Calgary, patients frequently share how their smile journeys exceeded expectations through modern clear aligner solutions. These firsthand experiences offer valuable, …
The Science Behind Invisalign: How Clear Aligners Move Your Teeth – Dr. Himani Gupta Explains
In much the same way that modern technology has transformed how teens learn, play sports, and communicate, it has also reshaped how smiles are guided into alignment. Today’s clear aligner systems rely on advanced digital planning, material science, and biological response to gently guide teeth …
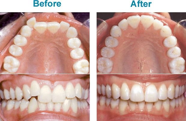
Honest Invisalign Before and After Reviews: Smile Transformations by Dr. Himani Gupta
Every smile tells a story, and for many patients in Calgary, that story begins with Invisalign. Clear aligners have transformed how people approach smile enhancement, offering a subtle, flexible, and confidence-boosting experience. At Skyview Ranch Dental Clinic, patients regularly share meaningful transformations that highlight the …
Fixing Crossbites with Invisalign: A Smile Tune-Up for the Holidays
The holiday season brings celebrations, photos, and joyful gatherings. For many people, it is also a time to think about personal goals and ways to feel more confident. One of the most transformative confidence boosters is improving your smile. At Skyview Ranch Dental Clinic in …
Thinking Invisalign? See What Patients Are Saying This December
December is always a reflective time of year. People look back at what they accomplished and start planning the changes they want to make in the new year. For many individuals across Calgary, improving their smile ranks high on the list. Clear aligner therapy continues …
Maintaining a healthy smile goes beyond daily brushing and flossing. One of the most common yet preventable dental problems people face is cavities. At Skyview Ranch Dental Clinic in Calgary, patients often ask questions like what a cavity is or how to recognize one before …
Invisible Braces: How Invisalign Helps You Smile Confidently
A confident smile can open doors to countless opportunities, enhance personal interactions, and boost self-esteem. Many adults and teens want straighter teeth but hesitate due to the appearance or discomfort of traditional braces. At Skyview Ranch Dental Clinic in Calgary, patients are discovering a modern …